Nuevo tratamiento experimental logra resultados asombrosos contra el agresivo cáncer cerebral glioblastoma.
Otro caso mostró una reducción del 60 % en solo dos meses. Aunque los tumores reaparecieron, los avances son significativos. Los científicos celebran este hallazgo como un paso hacia terapias más efectivas.
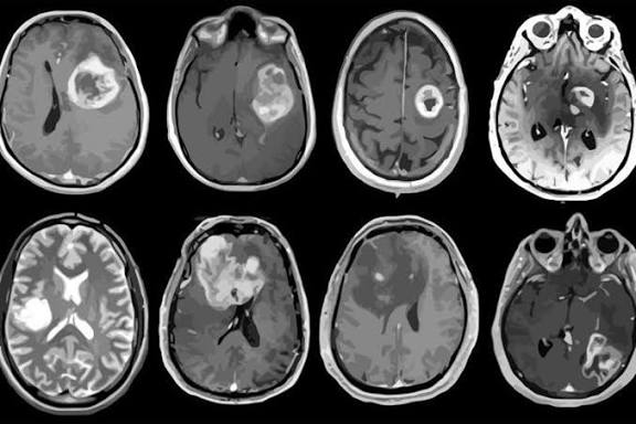
Un estudio realizado por el Massachusetts General Cancer Center y publicado en 2024 ha generado gran expectativa en la comunidad médica.
Los investigadores probaron un nuevo tratamiento experimental contra el glioblastoma, uno de los cánceres cerebrales más agresivos y difíciles de tratar, obteniendo resultados sin precedentes.
En el caso más sorprendente, una mujer de 57 años vio cómo su tumor casi desaparecía en tan solo cinco días tras recibir la nueva terapia. Otro paciente presentó una reducción del 60 % en el tamaño del tumor en poco más de dos meses.
Aunque los tumores reaparecieron posteriormente, los científicos consideran que estos resultados representan un avance crucial en la búsqueda de tratamientos más eficaces y duraderos.
El estudio abre la puerta a nuevas líneas de investigación que podrían cambiar el pronóstico de esta enfermedad, que hasta ahora ha tenido opciones terapéuticas muy limitadas.
Los investigadores continúan trabajando para perfeccionar la técnica y comprender mejor los mecanismos que permitieron una respuesta tan rápida y potente en algunos pacientes.
Noti/Imágenes
